YubNub Social YubNub Social
    #music #tew #tuba #euphonium #tew2026 #militarymusic #armymusic #armyband #band #freedom #concertband #tusab #orchestra #armyorchestra #warmup
    Advanced Search
  • Login
  • Register

  • Night mode
  • © 2026 YubNub Social
    About • Directory • Contact Us • Developers • Privacy Policy • Terms of Use • shareasale • FB Webview Detected • Android • Apple iOS • Get Our App

    Select Language

  • English
Night mode toggle
Featured Content
Community
New Posts (Home) ChatBox Popular Posts Reels Game Zone Top PodCasts
Explore
Explore
© 2026 YubNub Social
  • English
About • Directory • Contact Us • Developers • Privacy Policy • Terms of Use • shareasale • FB Webview Detected • Android • Apple iOS • Get Our App
Advertisement
Stop Seeing These Ads

Discover posts

Posts

Users

Pages

Blog

Market

Events

Games

Forum

The Blaze Media Feed
The Blaze Media Feed
2 yrs

'I don't want to die': Doctor facing certain death from brain cancer tries friend's experimental treatment – which shows promise
Favicon 
www.theblaze.com

'I don't want to die': Doctor facing certain death from brain cancer tries friend's experimental treatment – which shows promise

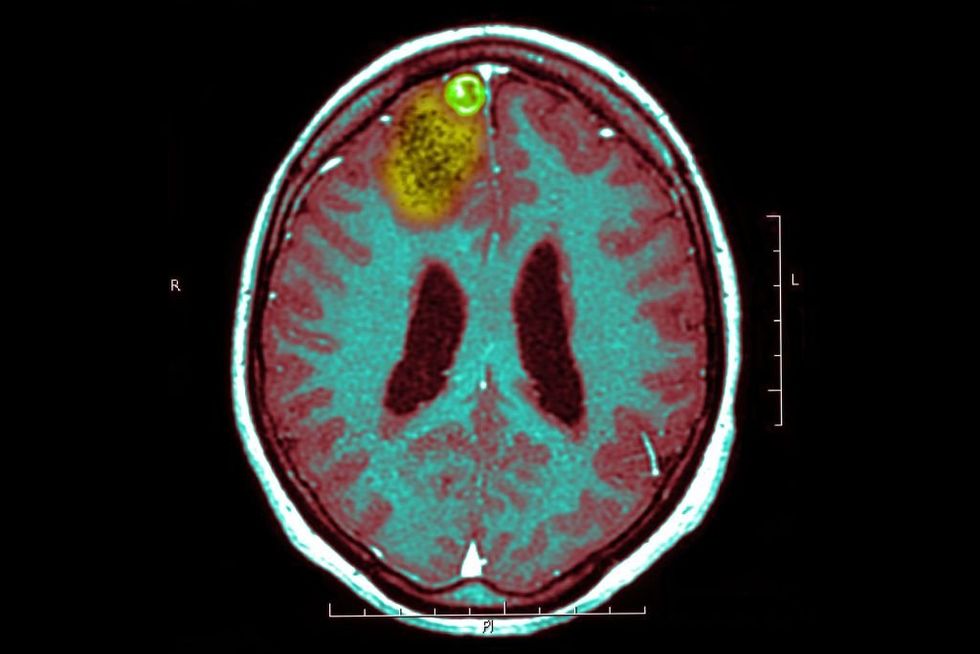
A leading skin cancer doctor is hopeful that an experimental treatment will bring a miracle and cure his nearly uncurbable brain cancer. Richard Scolyer is a professor at Sydney University in Australia and a surgical pathologist. Professor Scolyer is also suffering from one of the deadliest forms of cancer – a glioblastoma.The Mayo Clinic defines a glioblastoma as:A type of cancer that starts as a growth of cells in the brain or spinal cord. It grows quickly and can invade and destroy healthy tissue. Glioblastoma forms from cells called astrocytes that support nerve cells. Glioblastoma can happen at any age. But it tends to occur more often in older adults and more often in men. Glioblastoma symptoms include headaches that keep getting worse‚ nausea and vomiting‚ blurred or double vision‚ and seizures.According to Healthline‚ "The median survival time for adults with glioblastoma is 15 months."Just 3% to 5% of patients survive more than three years.Scolyer – a 57-year-old married father with three children – was diagnosed with brain cancer last June. For a treatment strategy‚ Scolyer turned to Georgina Long – his friend and co-director of the Melanoma Institute Australia.According to the Australian Broadcasting Corporation‚ "Both have been at the forefront of groundbreaking advances in melanoma treatment and saved thousands of lives with their immunotherapy approach.""We've taken everything‚ absolutely every bit of knowledge … that we've pioneered in melanoma and we've thrown it at Richard's tumor‚" Long told the outlet. Knowing the extraordinary odds and that timing is critical‚ Long proposed a radical plan to try to cure the nearly incurable brain cancer. However‚ there were significant risks. Professor Scolyer was the first in the world to delay brain surgery to remove the tumor and start with pre-surgery combination immunotherapy."Combination immunotherapy counters several immunosuppressive elements in the tumor microenvironment and activates multiple steps of the cancer-immunity cycle‚" according to the National Library of Medicine. The professor is also the first person to receive a personalized vaccine to combat the tumor."Brain cancer doctors were so worried this would kill me quicker or result in terrible side effects‚" Scolyer explained.Scolyer joked that the treatment plan was a "no-brainer.""It's not a hard decision to make when you're faced with certain death. I'm more than happy to be the guinea pig to do this‚" Scolyer said.Scolyer‚ his family‚ and the treatment team were extremely nervous when it came time for his recent brain scan at the end of January. Long said her friend's brain is "normalizing"A "thrilled" Scoyler said there's "no recurrence of my supposedly incurable glioblastoma!" See on Instagram Scolyer said the chance that he is cured of his aggressive cancer is "miniscule‚" but he's optimistic that "a miracle could happen."Scolyer proclaimed‚ "I'm confident‚ to be honest‚ that it's going to make a difference for future brain cancer patients."He cautioned‚ "I'm just one patient though. We won't really know [it works] until we do clinical trials."Scolyer told the BBC that he wants to live long enough to see his kids "become truly independent."The doctor said that he is "extraordinarily resilient‚" but "it's tough.""I love my family. I love my wife… I like my work‚" he declared with a grimace."I'm pissed off. I'm devastated‚" he said. "I don't want to die."His only comfort is that the data from his experimental treatment is "changing the field‚ and if I die tomorrow with that‚ I'm very proud."Like Blaze News? Bypass the censors‚ sign up for our newsletters‚ and get stories like this direct to your inbox. Sign up here! An experimental treatment against 'certain death' | Professor Richard Scolyer | Australian Story www.youtube.com
Like
Comment
Share
History Traveler
History Traveler
2 yrs

Roman egg is intact with contents too
Favicon 
www.thehistoryblog.com

Roman egg is intact with contents too

A CT scan of the Roman chicken egg discovered in Berryfields‚ Buckinghamshire‚ has revealed that it isn’t just the shell that is intact‚ but the contents — yolk‚ whites‚ and air bubble — are still inside. That makes it the only known example in the world of an ancient chicken egg that is complete with its interior liquids. The Berryfields site was excavated between 2007 and 2016 in advance of the construction of new a housing development. The fieldwork uncovered evidence of human occupation going back to the early Neolithic period and extending into the early Modern era. The site saw significant activity in the Roman era‚ and in a waterlogged pit dating to the 4th century‚ archaeologists found a wealth of organic remains including leather shoes‚ animal bones and a woven basket containing four eggs. The ancient eggs were so fragile that three of the four disintegrated on contact‚ so the last egg standing became the only intact Roman egg ever found in Britain and the second ever found anywhere in the world. The only other Roman-era egg to survive intact was found in a child’s grave in the Vatican necropolis under the via Triumphalis in Rome. The child‚ a baby who was less than a year old when they died between 50 and 150 A.D.‚ was buried with a chicken egg in the right hand. The shell was intact but it was empty. It was probably not a food offerings because at this time food offered for the deceased were usually pourable liquids like milk‚ honey and wine that were used in the burial ritual. Archaeologists believe it was symbolic‚ that the egg represented rebirth after the tragically premature death of the baby. Researchers have recently undertaken a new examination of the Berryfields egg‚ subjecting it to a microCT scan at the University of Kent. The scan clearly exposed the liquid interior with an angled air bubble at the top. The egg has also been taken to London’s Natural History Museum‚ where Douglas Russell‚ senior curator of the museum’s birds’ eggs and nests collection‚ and his colleague Arianna Bernucci were consulted about how to conserve the egg and remove the contents without breaking it. Mr Russell said: “There are older eggs with contents – for example‚ the [museum] has a series of mummified birds’ eggs‚ probably excavated… from the catacombs of sacred animals at Denderah‚ Upper Egypt in 1898 which may be older. “However‚ this is the oldest unintentionally preserved avian egg I have ever seen. That makes it fascinating. “Going forward‚ it will be very exciting to see if we can use any of the modern imaging and analysis techniques available here at the museum to shed further light on exactly which species laid the eggs and its potential archaeological significance.” Mr Biddulph said: “As we found out when we visited the Natural History Museum‚ [it] appears to be the oldest known example in the world.”
Like
Comment
Share
YubNub News
YubNub News
2 yrs

Wild police bodycam video shows Ohio cop getting plowed by stolen vehicle‚ firing shots at suspect from hood of the car
Favicon 
yubnub.news

Wild police bodycam video shows Ohio cop getting plowed by stolen vehicle‚ firing shots at suspect from hood of the car

Intense bodycam video from Ohio shows the moment that a police officer was rammed by a car‚ flipped to the hood‚ and fired shots as the vehicle raced on a wild ride. On Wednesday afternoon‚ Columbus police…
Like
Comment
Share
YubNub News
YubNub News
2 yrs

Defense Secretary Lloyd Austin hospitalized again with 'emergency issue‚' weeks after cancer treatment
Favicon 
yubnub.news

Defense Secretary Lloyd Austin hospitalized again with 'emergency issue‚' weeks after cancer treatment

Defense Secretary Lloyd Austin was transported to Walter Reed National Military Medical Center on Sunday afternoon. Austin was exhibiting symptoms of an "emergent bladder issue‚" according to the Pentagon."Today‚…
Like
Comment
Share
YubNub News
YubNub News
2 yrs

We Are in the Golden Age of Parody Songs
Favicon 
yubnub.news

We Are in the Golden Age of Parody Songs

Did you know there was a whole genre out there of Joe Biden parody tunes? Most are quite professional‚ and riff off popular songs to mock the president. Some focus on Joe himself‚ falling here‚ sniffing…
Like
Comment
Share
YubNub News
YubNub News
2 yrs

DoxyPEP Is a Disaster in Waiting
Favicon 
yubnub.news

DoxyPEP Is a Disaster in Waiting

There is a very easy way to eliminate death on the roads: prohibit all traffic. Unfortunately‚ such a policy would have effects other than the elimination of death on the roads‚ but road safety experts…
Like
Comment
Share
Survival Prepper
Survival Prepper  
2 yrs

The Editors’ Quote of the Day:
Favicon 
prepping.com

The Editors’ Quote of the Day:

“[Lawrence] roused in me an abiding curiosity about this planet we live on‚ and I have spent a lifetime trying to see as much of it as I could.” – Lowell Thomas‚ recounting his meetings with T.E. Lawrence‚ before writing his best-selling book With Lawrence in Arabia     The post The Editors’ Quote of the Day: appeared first on SurvivalBlog.com.
Like
Comment
Share
Survival Prepper
Survival Prepper  
2 yrs

SurvivalBlog Graphic of the Week
Favicon 
prepping.com

SurvivalBlog Graphic of the Week

Today’s graphic: World Map: Proportionally Accurate Landmasses. (Graphic courtesy of Reddit.)     — Please send your graphic ideas to JWR. (Either via e-mail or via our Contact form.) Any graphics that you send must either be your own creation or uncopyrighted. The post SurvivalBlog Graphic of the Week appeared first on SurvivalBlog.com.
Like
Comment
Share
Survival Prepper
Survival Prepper  
2 yrs

Recipe of the Week: Uxbridge Sour Milk Cornbread
Favicon 
prepping.com

Recipe of the Week: Uxbridge Sour Milk Cornbread

The following simple recipe for Uxbridge Sour Milk Cornbread is from Good HouseKeeping’s Book of Menus‚ Recipes‚ and Household Discoveries (253 pages‚ copyright 1925‚ now in public domain). That is one of the 11 new bonus books included in the new 2005-2023 edition of the SurvivalBlog Archive USB stick. Ingredients 1 egg 2 cupfuls sour milk 1 cupful cornmeal 1 cupful bread flour 1 teaspoonful soda 1 teaspoonful baking-powder 2 tablespoonfuls melted shortening 1 teaspoonful salt Directions To the egg weII beaten add the sour milk. Add the cornmeal‚ flour‚ soda‚ baking-powder‚ and salt sifted together. Beat in the melted … The post Recipe of the Week: Uxbridge Sour Milk Cornbread appeared first on SurvivalBlog.com.
Like
Comment
Share
Survival Prepper
Survival Prepper  
2 yrs

Xstream Straw Water Filter and AquaBrick‚ by Thomas Christianson
Favicon 
prepping.com

Xstream Straw Water Filter and AquaBrick‚ by Thomas Christianson

We all need air‚ water‚ food‚ and protection from the environment (clothing and shelter). If we are deprived of any of these necessities for a long enough time‚ we will die. Lack of access to clean drinking water can result in death through dehydration or disease. Emergency planning should include securing access to clean drinking water both at home and in the field. I recently had the opportunity to test the Sagan Life XStream Straw Ultralight Water Filter Deluxe. It is light‚ easy to use‚ and effective. It is an excellent tool for preparing potable water under field conditions. At … The post Xstream Straw Water Filter and AquaBrick‚ by Thomas Christianson appeared first on SurvivalBlog.com.
Like
Comment
Share
Showing 99650 out of 114955
  • 99646
  • 99647
  • 99648
  • 99649
  • 99650
  • 99651
  • 99652
  • 99653
  • 99654
  • 99655
  • 99656
  • 99657
  • 99658
  • 99659
  • 99660
  • 99661
  • 99662
  • 99663
  • 99664
  • 99665
Advertisement
Stop Seeing These Ads

Edit Offer

Add tier








Select an image
Delete your tier
Are you sure you want to delete this tier?

Reviews

In order to sell your content and posts, start by creating a few packages. Monetization

Pay By Wallet

Payment Alert

You are about to purchase the items, do you want to proceed?

Request a Refund